Wixted Fracture Distractor

John J. Wixted, MD

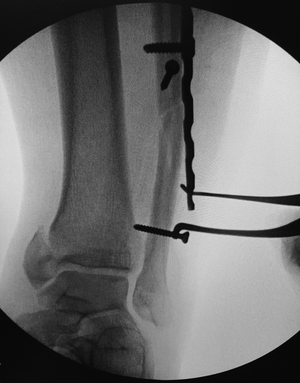
Designed to provide opposing leverage to help bring the fibula (or other bone) back out to its proper length after it has been shortened by a fracture

A 3.5 mm screw is temporarily placed above a plate, providing a source of leverage for the screw holding end of the distractor. The curved peg-shaped tip is then placed into a hole in the bone plate, and the distractor is activated to bring the bone back to its proper length before fixation.

Product Number(s)

1882

Dimensions
Overall Length: 7″ (17,8 cm)